Dr. Sara El Ghoumari
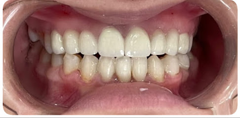
Dr. Sara El Ghoumari هي طبيبة أسنان محترفة تعمل في عيادتها بدقة واهتمام بالتفاصيل. تقدم العيادة خدمات طب الأسنان عالية الجودة تشمل جميع التخصصات مثل حشو الأسنان، علاج اللثة، وتركيبات الأسنان. يمكنك التواصل مع Dr. Sara El Ghoumari لحجز موعد من خلال الاتصال بالرقم +212777-913491. ستجد نفسك في يدي أمينة وخبيرة تضمن لك أفضل رعاية لصحة أسنانك.